歯を削ってから歯を失うまでのサイクル
非修復治療で虫歯の進行をとめる

あなたの歯を守るために虫歯編

歯を失う原因の多くは、むし歯と歯周病です。これらの病気の対策として、文元歯科の考えと取り組みをお話しします。まずはむし歯についてです。要点は3つです。「非修復治療」「セルフケア(フッ化物・歯みがき・間食)」「定期健診」

歯周病編はこちら

1.むし歯が出来たら?

みなさん、歯に穴が空いたら、どうするでしょうか? 歯の強度に近い材料で詰める。歯の奥まで進んでいる大きなむし歯であれば神経を取って、冠(クラウン)を歯に被せます。という答えが返ってくると思います。

しかし、これだけでは、根本的にむし歯をコントロールすることはできません。図1のような、抜歯のスパイラルに突入します。

虫歯を削り始めてから抜歯までのイラスト
図1 抜歯のスパイラル
  1. 小さな虫歯
  2. 治療(詰め物を充填する)
  3. 詰め物のすき間から虫歯ができる
  4. 治療
  5. 詰め物のすき間から虫歯ができる
  6. 治療(かぶせ物)
  7. かぶせ物のすき間から虫歯ができる
  8. 抜歯

この抜歯のスパイラルを避けるために、文元歯科では、歯を削らずに治す方法「非修復治療」が可能かどうかを診断するところから始めています。

2. むし歯とは?

むし歯は、歯に付いた細菌の塊(歯垢)から出す酸によって、歯の結晶が溶けだす現象です。炭水化物や砂糖を多く含んだ食物を、頻繁に摂ることによって歯垢は酸性化します。したがって、生活習慣によってむし歯は発生するのです。

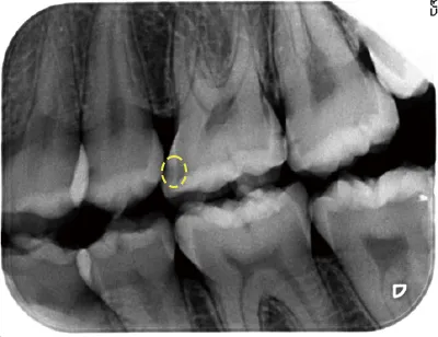
初期う蝕
写真1 黄色の破線がむし歯の始まり

写真1の歯はむし歯の始まりを示しています。歯の表面が白く濁っており、エナメル質の結晶が溶け出しているのです。歯に穴があく一歩手前の状態です。

初期う蝕から2週間後にエナメル質の結晶が戻った
写真2 2週間後

このような状態をエナメル質初期う蝕(Ce)と呼び、この段階では、歯を削らずに治す「非修復治療」が適応となります。写真2の歯は2週間で溶け出したエナメル質の結晶が、また歯に戻って来ました(再石灰化)。

3. どのようにして治す?

むし歯を治すには、歯垢の質(内容)をコントロールすることです。歯垢は、最低1日以内に取り除くことが重要です。それ以上すぎると細菌の種類が、歯に害のない細菌から、酸を出す細菌の集まりへと変化するのです。

糖質、とりわけ砂糖が歯垢のなかに取り込まれると、酸を出す細菌が増え続けます。しかし、フッ素イオンが歯垢に取り込まれると、細菌自体が抗菌性を示すと同時に、酸によって溶かされたエナメル質結晶を元に戻す作用があります。

むし歯は、フッ化物の使用と歯磨きによる歯垢の除去、そして糖質を控える食習慣によって治ります。

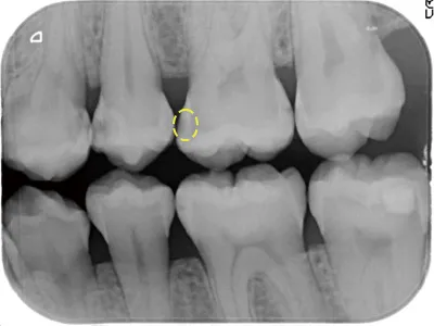
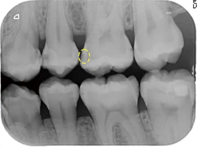
歯に穴があいている
写真3 穴があいている(黄色の破線の円))

写真3は、たとえ歯に穴があっても、非修復治療によって、むし歯をコントロールしています。穴を歯科用材料で詰めるとなると、健康な歯の部分も余分に削らないと、詰めたものがすぐに外れます。

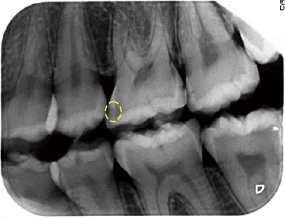
レントゲンに写った虫歯
写真4 2011年12月撮影
レントゲンに写った虫歯の進行が停止
写真5 2023年5月撮影

写真4から写真5は、なんと10年以上もむし歯が進行していません。たとえむし歯が象牙質に進行(歯に穴が空いている)していても、非修復治療で、進行を止めることができるのです。

文元歯科が大切にしている治療の考え方

ヨーロッパでは、う蝕学(カリオロジーと言います)が進んでいまして、う蝕のコントロール法が確立しています。

文元歯科は、この学会に所属して常に学会のガイドライン等を参照して日々臨床に応用しています。

削って詰めるむし歯治療だけでは、歯を守ることはできません。文元歯科では非修復治療をベースにして診療しています。

例え歯に穴が空いてしまった場合でも、なるべく健康な歯を削らない方法、歯の中の神経を保護する方法(顕微鏡、レーザーの使用等)で、最小限の切削(介入処置)で済ませるようにしています。

しかし、繰り返し申し上げますが、皆様のセルフケア(フッ化物使用、歯磨き、食習慣)がむし歯をコントロールするのです。

定期健診時の問診で、毎回毎回、みなさんのセルフケアの内容をお聞きしているのはこのためです。

文元歯科医院では、これからも有益な情報を皆様に提供し、皆さんの歯を守るために歩んでいきます。